Skip to content
Răng hàm mặt
    • Giới thiệu
    • Nấn chỉnh răng
      • Nắn Chỉnh Răng Mặt Ngoài
      • Phẩu Thuật Tạo Hình Xương
      • Nắn Chỉnh Răng Mặt Lưỡi
    • Cấy ghép răng
      • cấu tạo implant nha khoa
      • implant răng cửa
      • Phục hình trên implant
    • Răng giả
      • Hàm tháo lắp
      • Hàm khung
      • Răng giả cố định
    • Bệnh khớp hàm
    • Bệnh lý hàm mặt
      • Chấn thương hàm mặt
      • U vùng hàm mặt
      • Đau vùng hàm mặt
    • Nha khoa cơ sở
      • Điều Trị Tủy Răng
      • Răng Trẻ Em
      • Nha Chu
      • Điều Trị Răng
      • Mô Phôi Răng Miệng
      • Tẩy Trắng Răng
      • Nhổ Răng
    • Đào tạo
      • Đào Tạo Nắn Chỉnh Răng
      • Implant Nha Khoa
    • Liên hệ
Nha Chu
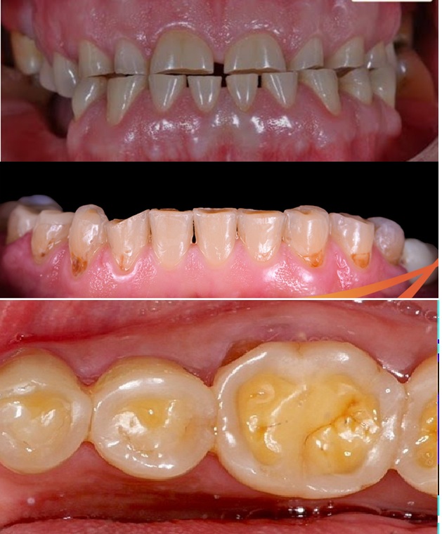
PHÂN LOẠI VÀ HÌNH THÁI LÂM SÀNG CỦA TIÊU QUANH RĂNG

      Tiêu quanh răng là một bệnh lý có đặc trưng lá sự phá hủy mô nâng đỡ của rưng và mô quanh răng không hồi phục với tiêu xương

12/02/2024
PHÂN LOẠI VÀ HÌNH THÁI LÂM SÀNG CỦA TIÊU QUANH RĂNG

      Tiêu quanh răng là một bệnh lý có đặc trưng lá sự phá hủy mô nâng đỡ

12/02/2024
Giải phẫu mô quanh răng

Vùng quanh răng bao gồm : lợi, dây chằng quanh răng , cemmet răng và xương ổ răng. Men răng Bờ lợi Rãnh lợi nhỏ Rãnh dưới lợi tự do

21/01/2024
Giải phẫu mô quanh răng

Vùng quanh răng bao gồm : lợi, dây chằng quanh răng , cemmet răng và xương ổ răng.

21/01/2024
Phân loại và hình thái lâm sàng của tiêu quanh răng

      Tiêu quanh răng là một bệnh lý có đặc trưng lá sự phá hủy mô nâng đỡ của rưng và mô quanh răng không hồi phục với tiêu xương

21/01/2024
Phân loại và hình thái lâm sàng của tiêu quanh răng

      Tiêu quanh răng là một bệnh lý có đặc trưng lá sự phá hủy mô nâng đỡ

21/01/2024
Tin nổi bật
Lưu ý sau khi gắn mắc cài
SAI KHỚP CẮN LOẠI II
Thuế quan 46%
Tạo hình xương hàm dưới
Tạo hình cằm
Tạo hình tiền hàm
phẫu thuật tạo hình theo đường cắt Lefort xương hàm trên
Giải phẫu xương hàm

Nha khoa hà nội - P.Giáo sư tiến sĩ Phạm Như Hải tốt nghiệp tại Pháp

Email: phamnhuhai@hotmail.com
Địa chỉ: Số 1, Hàng tre, Hoàn Kiếm, Hà Nội
Điện thoại: 8424-22422144 - 0903434340

Nấn chỉnh răng
Cấy ghép răng
Răng giả
Bệnh lý hàm mặt
Bệnh khớp hàm
Nha khoa cơ sở
Liên hệ
Đào tạo
© 2026 Răng hàm mặt | Design by Erasvietnam.vn
  • Trang chủ
  • Giới thiệu
  • Nấn chỉnh răng
    • Nắn Chỉnh Răng Mặt Ngoài
    • Phẩu Thuật Tạo Hình Xương
    • Nắn Chỉnh Răng Mặt Lưỡi
  • Cấy ghép răng
    • cấu tạo implant nha khoa
    • implant răng cửa
    • Phục hình trên implant
  • Răng giả
    • Hàm tháo lắp
    • Hàm khung
    • Răng giả cố định
  • Bệnh khớp hàm
  • Bệnh lý hàm mặt
    • Chấn thương hàm mặt
    • U vùng hàm mặt
    • Đau vùng hàm mặt
  • Nha khoa cơ sở
    • Điều Trị Tủy Răng
    • Răng Trẻ Em
    • Nha Chu
    • Điều Trị Răng
    • Mô Phôi Răng Miệng
    • Tẩy Trắng Răng
    • Nhổ Răng
  • Đào tạo
    • Đào Tạo Nắn Chỉnh Răng
    • Implant Nha Khoa
  • Liên hệ
  • Đại diện giới sử dụng lao động
  • Khảo Sát VCCI
  • Thư viện ảnh
    • Hình ảnh, clip về các khoá đào tạo
    • Hình ảnh, clip về hội nghị – hội thảo
  • Đăng ký hội viên
  • Ý kiến – Góp ý
Zalo
Phone
x
x