MÒN RĂNG

MÒN RĂNG: NGUYÊN NHÂN, TRIỆU CHỨNG, CHẨN ĐOÁN VÀ ĐIỀU TRỊ

Tổng quan

Mòn răng là tình trạng mất lớp mô cứng của răng (men, ngà) do yếu tố cơ học hoặc hóa học, không liên quan đến vi khuẩn.

Quá trình mòn răng thường diễn ra từ từ và khó nhận biết ở giai đoạn đầu. Nếu không phát hiện và điều trị kịp thời, mòn răng có thể tiến triển nặng, ảnh hưởng chức năng ăn nhai và thầm mỹ.

Có nhiều nguyên nhân có thể dẫn tới tình trạng này, liên quan đến thói quen ăn uống, chăm sóc răng miệng và các bệnh lý mà người bệnh mắc phải.  Người bệnh có thể giảm nguy cơ cho tình trạng răng này bằng cách vệ sinh răng miệng đúng cách và khám nha khoa định kỳ.

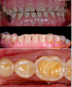
Dấu hiệu răng bị mòn có thể nhận biết

Một số dấu hiệu răng bị mòn có thể nhận biết, bao gồm:

  • Răng nhạy cảm, dễ ê buốt khi tiếp xúc với thực phẩm có vị chua, ngọt hoặc nhiệt độ nóng, lạnh
  • Răng đổi màu do lớp men bảo vệ bên ngoài bị mài mòn. Dẫn đến làm lộ phần ngà răng bên dưới
  • Răng nứt, mẻ
  • Răng xuất hiện nhiều vết lõm hoặc lỗ
  • ở giai đoạn nặng hơn, khi tổn thưởng đến gần tủy răng, người bệnh có thể cảm thấy đau khi ăn nhai hoặc kích thích mạnh.

Nguyên nhân gây mòn răng

Mòn răng có nhiều nguyên nhân khác nhau, thường được chia thành 3 nhóm chính

MÒN RĂNG – RĂNG:

Mòn răng – răng có thể là một quá trình sinh lý (mòn do ăn nhai lâu ngày) hoặc là một quá trình bệnh lý (do nghiến răng hoặc do rối loạn khớp cắn).

  • Mòn răng sinh lý có thứ tự mòn tương đối ổn định: Mòn ở các vị trí chịu lực trước. Mòn rìa cắn răng cửa trước, sau đó đến đỉnh múi của răng hàm (múi ngoài răng dưới và múi trong răng hàm trên) – là những vùng chịu lực nhai nhiều nhất. Đối với răng cửa sẽ mòn rìa cắn theo chiều từ trong ra ngoài ở răng trên và ngược lại đối với răng dưới.
  • Hình dạng tổn thương: Ở giai đoạn mòn men, tổn thương có dạng phẳng. Khi chuyển sang giai đoạn mòn ngà, tổn thương có dạng lõm đáy chén và chuyển màu nâu do tốc độ mòn của ngà nhanh hơn men.
  • Các tổn thương ở hai răng đối đầu thưỡng sẽ khớp khít vào nhau.

                    

Khi mòn răng quá mức sẽ gây nhạy cảm, kích thích răng. Có thể làm mất tiếp xúc bên, làm các răng dịch chuyển về phía gần.

  • Trong trường hợp mòn do rối lọan khớp cắn, vị trí mòn sẽ phụ thuộc vào đặc điểm khớp cắn: thường sẽ mòn ở vị trí chạm sớm và các điểm cản trở khớp cắn.
  • Dưới kính hiển vi: mặt mòn phẳng, giới hạn rõ, có các đường xước song song và chạy theo một chiều duy nhất, tương đồng với tổn thương trên răng đối đầu.

MÒN RĂNG DO TÁC NHÂN HÓA HỌC

Tổn thương thường lan rộng và ít có giới hạn. Vị trí tổn thương nằm ở các răng gần nhau nơi bị hóa chất phá hủy mạnh nhất. Nguồn acid có thể từ: nước ngọt có gas, trái cây chua, nước chanh, giấm, trào ngược dạ dày thực quản

  • Trong hội chứng trào ngược: vị trí mòn là các răng hàm, mặt trong răng cửa trên.
  • Tổn trương mòn hóa học làm bề mặt men răng trở nên trong suốt, bóng, trơn và lan rộng. Với các tổn thương lộ ngà cũng tạo thành hình lõm đáy chén, nhưng có vành trong suốt ở chu vi.
  • Mòn hóa học thường gây ra hiện tượng mòn thứ phát hủy khoáng men răng và ngà răng

MÒN RĂNG DO TÁC NHÂN CƠ HỌC

Có rất nhiều tác nhân ngoại lai có thể tác động đến men răng và gây nên các hình thái mòn răng khác nhau:

  • Mòn do bàn chải: Do bàn chải cứng, lực chải quá mạnh, thường sẽ gây mòn ở cổ răng
  • Kem đánh răng có hạt độn cao
  • Do thói quen cắn các vật cứng, thường mòn ở ngay vị trí cắn: cắn bút, móng tay, nhai đá
  • Do thói quen ăn độ ăn xơ cứng, thường mòn ở vị trí răng hàm
  • Mài mòn thứ phát sau mài mòn hóa học

 

CÁC GIAI ĐOẠN CỦA MÒN RĂNG

Giai đoạn 1:

Mòn răng chỉ nhìn thấy khi thăm khám bằng mắt thường, người bệnh chưa thấy đau nhức, ê buốt hay triệu chứng bất thường nào khác

Điều trị dự phòng, loại trừ nguy cơ và nguyên nhân gây bệnh: chải răng đúng cách, thay bàn chải, tật nghiến răng, kem đánh răng, hoặc bôi resin giảm nhạy cảm

Giai đoạn 2:

Mòn răng đã gây triệu chứng ê buốt khi ăn nhai, ảnh hưởng đến chất lượng cuộc sống

Giai đoạn 3:

Tổn thương tiến gần hoặc lộ tủy. Vi khuẩn dễ xâm nhập gây viêm tủy răng. Cần tiến hành che tủy hoặc điều trị tủy răng.

 

PHỤC HỒI TỔN THƯƠNG MÒN RĂNG

Điều trị tình trạng mòn răng tùy thuộc vào nhiều yếu tố, bao gồm: nguyên nhân gây mòn răng, loại mòn răng và mức độ mòn răng.

Các biện pháp phục hồi men răng cũng được áp dụng phổ biến, tùy theo mức độ mất men răng, có thể kể đến như sau:

  • Liệu pháp fluoride: bác sĩ sẽ bôi fluoride hoặc cho bệnh nhân đeo khay bọc răng chứa fluoride sử dụng tại nhà. Fluoride giúp giảm ê buốt răng, tái khoáng hóa men răng, phòng ngừa sâu răng
  • Hàn răng: là biện pháp áp dụng phổ biến nhất để phục hồi các răng bị mòn. Vật liệu trám răng có thể được làm từ GIC hoặc composite, có màu gần giống màu răng tự nhiên, làm đầy các lỗ hổng, tăng cường sức khỏe răng miệng.
  • Các vật liệu thường dùng:
  1. Glass-ionomer cement (GIC)

Ưu điểm:

  • Bám dính tốt vào mô răng
  • Giải phóng fluoride chống sâu răng

Nhược điểm:

  • Độ bền mài mòn thấp
  • Độ dai thấp
  • Dễ hòa tan trong môi trường acid
  1. Composite

Ưu điểm:

  • Thẩm mỹ cao
  • Độ bền tốt
  • Tuổi thọ phục hồi cao hơn GIC

Nhược điểm:

  • Phụ thuộc nhiều vào tay nghề bác sĩ
  • Nguy cơ gây nhạy cảm cao nếu không đúng kĩ thuật

 

LỰA CHỌN VẬT LIỆU PHỤC HỒI

  • Vùng răng trước: composite (ưu tiên thẩm mỹ)
  • Khi cần giải phóng fluoride: GIC
  • Nếu có xói mòn acid chưa kiểm soát: nên ưu tiên composite
  • Dán sứ: khi răng bị mòn mặt ngoài, nứt, mẻ hoặc đổi màu
  • Chụp răng sứ: là liệu pháp áp dụng cho những trường hợp mất mòn răng nhiều, thiết lập lại cân bằng khớp cắn, tạo khớp cắn tốt, bảo vệ răng khỏi mòn thêm
  • Mòn răng do nghiến răng: đeo máng chống nghiến

CÁCH PHÒNG NGỪA MÒN RĂNG

Phòng ngừa là “chìa khóa” quan trọng với tình trạng mòn răng. Bởi, men răng bị ăn mòn sẽ không tái tạo lại được. Một số cách phòng ngừa mòn răng, bao gồm:

  • Sử dụng kem đánh răng có fluoride.
  • Đánh răng ít nhất 2 lần/ngày.
  • Hạn chế ăn thực phẩm và đồ uống có đường và axit.
  • Súc miệng bằng nước giữa bữa ăn nhẹ và bữa ăn chính.
  • Đợi ít nhất 30 phút mới đánh răng sau khi ăn. Điều này giúp nước bọt có thời gian rửa trôi axit trong miệng. Đánh răng quá sớm sau khi ăn có thể gây mòn răng quá mức và làm hỏng men răng.
  • Tránh ăn trong vòng 3 giờ trước khi đi ngủ.
  • Nhai kẹo cao su không đường sau bữa ăn để tăng sản xuất nước bọt.
  • Khám nha khoa định kỳ 6 tháng/lần giúp phát hiện và xử lý sớm các vấn đề răng miệng